Medical Treatment Guide診療案内

General dentistry一般歯科

無痛治療 『痛みを抑えた治療』を目指して

歯医者さんというと、「痛い」というイメージが付きまといがちですよね。
私共医師にとっても患者さまの痛そうな顔を見るのは大変つらいものです。そのため、習志野市津田沼のSAKU DENTAL CLINICでは『痛みを抑えた治療』を目指して最大限の努力をさせていただいております。
具体的には、シリジェットと呼ばれる『限りなく傷みの伴わない一次麻酔器』を用いております。
これを用いる事で二次麻酔の注射をする際の痛みもほとんど失われます。
歯科治療の際の『痛み』に関して恐怖心のある方は、その心配がなくなりますので、お気軽に当院へおこし下さい。
『痛み』の伴わない治療で、みなさんの歯科治療に関する恐怖と価値観が変わり、より良い治療が出来る事を目指しています。

Pediatric dentistry小児歯科

Beauty treatment 審美歯科

歯科治療による金歯や銀歯の詰め物、また、歯の変色により口元に自信がもてない方多いと思います。
美容診療であるセラミックを使った美容診療では、従来の金属では不可能だった見た目を追求し、天然歯にあわせたカラーリングが可能なので、美しく自然な仕上がりが期待できます。
最近では、すでに治療済みの詰め物をセラミック・インレーに詰め替える方も少なくありません。
白く美しい歯は相手に好印象をあたえます。自信あふれる美しい笑顔は自く輝く歯があってこそ生まれるものです。
習志野市津田沼のSAKU DENTAL CLINICでは、最高の技術によりあなたに最高の笑顔と自信を提供します。

Non-insurance medical fee table保険外診療料金表

症例によって料金は多少異なります。こちらではおおよその目安を表示しています。
くわしい料金はご相談下さい。

  • インレー

    種類 ワンポイント 金額(税込)
    ゴールドインレー 安全・健康 33,000円
    ハイブリッドインレー 日常での自然さ 33,000円
    ジルコニアインレー 健康・強い 44,000円
  • クラウン(全部被覆冠)

    種類 ワンポイント 金額(税込)
    ゴールド 安全・健康 ~99,000円(変動あり)
    ハイブリッド 日常での自然さ 66,000円
    ジルコニア 健康・強い 99,000円
    ジルコボンド 健康・強い・美しい 132,000円
  • ラミネートベニア

    治療 金額(税込)
    ラミネートベニア 88,000円
  • インプラント

    治療 金額(税込)
    インプラント埋入 220,000円
    アパットメント 27,500円
    上部構造 ハイブリッド 132,000円
    骨造成(1歯につき) +55,000円
    抜歯即時埋入(1歯につき) +55,000円
    CT撮影 5,500円
  • ホワイトニング

    治療 金額(税込)
    オフィスブリーチ 1回目 17,500円
    (アパガードリナメル付)
    2回目~ 14,300円
    ホームブリーチ 33,000円
    薬剤10%→4本
    薬剤16%→2本
    追加薬剤10%→2,750円/本
    追加薬剤16%→4,400円/本
  • 義歯

    治療 金額(税込)
    ノンクラスプデンチャー 2歯まで 66,000円
    3歯以降は1歯につき +11,000円
    金属床義歯 Co-Cr床 275,000円

補綴物の種類Type of prosthesis

  • セラミックインレー

    セラミックインレーは金属と違い天然歯にあわせたカラーリングが可能なので、個々にあわせた自然な仕上がりを期待できます。

  • ハイブリットインレー

    全く新しい素材で、治療した部分を白く自然な状態にするだけでく、治療した歯の噛み合わせる歯に対してもやさしい素材です。

  • ジルコニアセラミッククラウン

    ジルコニアセラミッククラウンとはメタルボンドの内面の金属の代わりに、人工ダイアとしても有名なジルコニアを使用したものです。金属を一切使用しないため、金属が溶け出すことによる歯茎の変色、金属アレルギーなどの心配が無く、強度も強いので、奥歯やブリッジに使用することも可能です。

  • オールセラミッククラウン

    セラミッククラウンの1種で大変美しい色調に仕上がるため、見た目を重視した前歯単冠などにはおすすめです。また光の透過性があるため、ファイバーコアと併用した場合、さらに美しさが引き立ちます。

  • メタルセラミッククラウン

    セラミッククラウンの1種で、金属フレームをベースにその表面に白いセラミック材を焼き付けたものです。セラミックのメリットである見た目と金属の持つ強度という各々の材料の長所を兼ね備えたクラウンです。

  • ハイブリットセラミッククラウン

    セラミックとプラスチックを組み合わせた人口素材です。
    白さとともに硬さが天然歯と同じくらいなので、噛み合わせる歯を痛めることもありません。長期により変色、磨耗が多少生じます。

  • ラミネートベニア

    ラミネートベニアとは、歯を薄く削って薄いセラミックのシートを貼り、歯を白くする方法のことをいいます。生まれつき歯の色が黄色い人やホワイトニングで白くなりきれなかった人などにおすすめの治療法です。
    また、ラミネートベニアはセラミックの大きさや形を調整することでちょっとした歯並びを矯正したり、すきっ歯を埋めることもできますし、むし歯や磨耗で変形してしまった歯の補修をするときなどにも使われています。

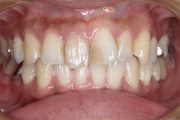
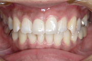
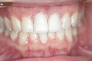
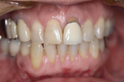
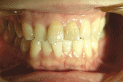
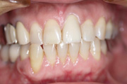
美容診療の症例Case

ホワイトニング

治療前

治療後

オールセラミック

治療前

治療後

オールセラミック

治療前

治療後

Oral surgery口腔外科

Implantインプラント

当院のインプラントについて

当院で行っているインプラントにはITIインプラントとHAインプラントがあります。
ITIインプランは2004年度アメリカ歯科医師会推薦をうけるわずか4つのインプラントのうちの一つに正式認証されています。日本はもちろん世界中で多く使われているインプラントです。
ITIインプラントには「骨に強固に結合する」「基本的に、1回の手術でできる」「歯を抜いてすぐに使える」「日本人の顎に適している」などの利点があります。 一方、HAインプラントはチタンの表面に使われている材料がハイドロキシアパタイトという顎の中で積極的に骨と結合しようとする生活活性剤です。それにより骨とインプラントの間に隙間があいてしまった症例や骨の状態が悪い場合でも高い成功率があります。習志野市津田沼のSAKU DENTAL CLINICでは、これらのインプラントの特徴を生かし患者さまにもっともあったインプラントを患者さまとの話合いにより決めています。

料金についてはこちら

インプラント治療とは?

人は一度永久歯を失うと残念ながら二度と生え替わってきません。
そのため今までは入れ歯などを用いてしかその部分を補う方法はありませんでした。
しかし入れ歯だと固いものがうまく噛めなかったり、発音がおかしかったり、また長く使っている間に合わなくなって正常に使用できなくなる場合がでてきます。

そこで登場するのがインプラントです。
インプラントは、失ってしまった自分の歯の替わりに人工歯根を顎の骨に埋め込み、その上に人工の歯を形成して噛み合わせを回復する治療法です。
直接顎の骨に固定するためガタつかず、自分の歯のように自然に物を噛めるようになります。

インプラントと従来の入れ歯の違い

インプラントには、従来の入れ歯のようにアクリル系やプラスチックの床(ピンク色の部分)、あるいは残存している歯に引っ掛ける留め金が必要ないので、口の中がスッキリとし、本来の自然な運動がよみがえります。
また、制作された人工の歯もぴったりと固定されていますから固いものでも楽に食べられるようになります。

インプラントの構造

インプラント体(フィクスチャー) インプラント本体で、骨の中に埋め込まれ、咬む力を支える部分。
酸化チタンでできている。この形態により、インプラントの性質が変わってくる。
アバットメント インプラント体の上に置かれ、インプラント用の歯を支える部分。ほとんどの場合はインプラント体と同じく、酸化チタンでできているが、前歯の場合は、セラミック製のものが使われる。
上部構造物(人工の歯)
アバットメントの上に作られる人工の歯。セラミック等で作られる。ネジ止めにて固定される場合が多いが、セメントにて固定されることもある。
スクリュー インプラント体とアバットメントを固定するためのもの。

インプラントのメリット

  • メリット1

    歯が一本抜けている場合、従来の治療法では両側の歯を削りブリッジという方法が取られていました。
    しかし、インプラントなら抜けた部分のみにインプラントを行うことが出来るので、他の歯を削る必要はありません。

  • メリット2

    たくさんの歯が抜けている場合、従来のブリッジなら残っている歯だけでかむ力を支えなければなりません。このかむ力はとても大きなものです。インプラントにすると、本来の歯数バランスがとれますので、咬合圧(かむ力)による負担が少なくなります。

  • メリット3

    奥歯が抜けている場合、従来の方法では、取り外しをする入れ歯でしたが、インプラントにすると、取り外さないですむブリッジが入れられますから、しっかりと固定され、安心して食事が出来ます。

✓インプラントは新しいご自身の歯として、自由に物を噛め周りの歯にも悪影響を及ぼしません。
✓歯を失った時、ブリッジを入れるために両隣の歯を削る必要がない
✓残っている歯への負担を増やさない
✓歯の根が折れる危険性のある歯、抜歯するかどうか迷う歯も抜歯になった時のリカバリーが容易である
✓インプラントは副作用が無く、半永久的に使用可能です

インプラントはチタン製でとても丈夫ですので何か問題が起こらなければ半永久的にお口の中で機能します。
しかし、ブラッシングが十分にできないでインプラントの周りに歯垢がついた状態にしていると天然歯と同様、歯周病のような状態になり、インプラントの周りの骨が炎症を起こしてなくなってしまいます。
そのまま放置すれば、周囲の骨にまで悪影響を及ぼします。インプラントを長持ちさせるためには、毎日の適切なブラッシングと定期的なメインテナンスが不可欠です。

Preventive dentistry予防歯科

歯をむし歯にさせないためには正しい歯磨きの方法とプラークコントロールが重要です。
歯周病の原因は、むし歯の原因と同じくプラーク(歯垢)です。歯茎の周りにプラークがたまり、プラークが細菌に感染することによって歯肉が炎症を起こして腫れ、歯肉炎を起こします。
歯周病が進行すると歯茎の腫れがひどくなり、歯と歯茎の間に歯周ポケットと呼ばれる隙間ができます。
また、炎症が歯槽骨や歯根膜まで及び、歯茎から膿が出たり、歯茎がやせて下がってきたり、歯がぐらついてきたりします。
歯周病がさらに悪化すると、歯槽骨が溶けて歯のぐらつきがひどくなり、食べ物が噛むことができなくなって、最後には歯が抜け落ちてしまいます。
歯を健康に保つために何よりも大切なのは「むし歯にしないぞ!!」という患者さま自身の気持ちです。
その気持ちさえあれば毎日の歯磨きも頑張れるはずです。
定期的な歯科健診も忘れずに行くようにしましょう。

  • TBI(ブラッシング指導)

    当院では、必要に応じて歯磨き指導を行っています。
    TBIとは「トゥース・ブラッシング・インストラクション」の略で、歯科衛生士などによるブラッシング指導を指します。
    毎日ご自身が行うブラッシングは、むし歯や歯周病を予防するために大切な要素です。
    正しいブラッシングを身につけることで、プラーク(歯垢)を溜めることなく清潔な歯にしましょう。

  • PMTC

    歯磨きをしていても、どうしても磨き残しがあります。それが毎日積み重なると、細かな汚れや色などが付き、歯の表面が汚れてしまいます。
    歯磨きだけでは落としきれない歯の表面についた汚れを、専門の機器を用いてクリーニングします。
    歯の汚れが落ちるので、歯についた着色が落ち、きれいでツルツルな自然な歯の色になります。
    むし歯や歯周病の予防にも有効です。

  • シーラント

    シーラントとは、奥歯の噛み合わせの部分にプラスチックを埋め込んで、その部分をむし歯予防する方法です。
    その方法は非常にシンプルで、シーラントをする歯の溝をきれいにし、そこにレジンを貼り付けるのです。(レジンとは、軽いむし歯治療の時につめる白いもの)
    奥歯など歯磨き時にブラシが届きにくい場所に有効です。
    実際に行う際には、本来の噛み合わせをずらすことになるので、噛み合わせに注意しながら進めます。

  • フッ素塗布

    フッ素を歯に塗ることで、むし歯になりにくい歯にすることができます。
    フッ素には、歯のエナメル質の強化、再石灰化の促進、むし歯菌の活動抑制などの効果があります。
    フッ素の効果は次第に弱くなってしまいますので、定期健診の際に歯に塗ります。